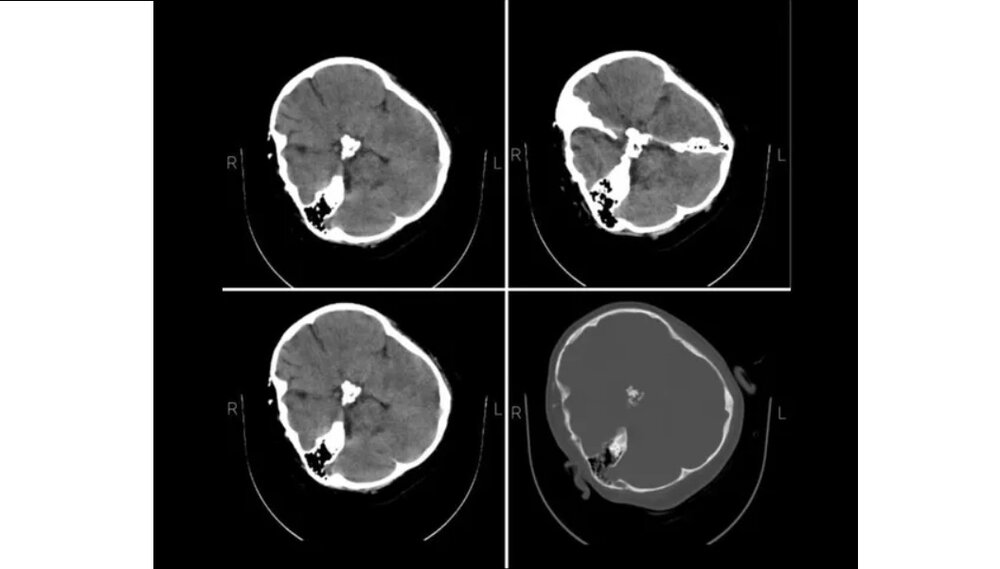
به گزارش هوشمند نیوز، در بیانیه متخصصین نرورادیولژی هیأت بورد رادیولوژی وزارت بهداشت که در پاسخ به استعلام ریاست نظام پزشکی صادر شده، آمده است: «با توجه به استعلام ریاست نظام پزشکی، متخصصین نرورادیولژی هیات بورد رادیولوژی وزارت بهدشت، پس از بررسی تصاویر سیتی اسکن مغز مرحومه مهسا امینی اعلام میدارد در سیتی اسکن که بهصورت فیلمبرداری از، مانیتور تهیه شده است، خونریزی در پارانشیم مغزی، خونریزی اپیدورال و سابدورال دیده نمیشود.»
در این بیانیه که نسخهای از آن در اختیار هوشمند نیوز قرار گرفته همچنین تاکید شده که «نظریه تکمیلی پس از مشاهده اصل اطلاعات تصویری ارسال خواهد شد.»
در همین زمینه بخوانید:
تماس تلفنی رئیسی با خانواده مهسا امینی؛ دختر شما همچون دختر خود من است
اسناد پزشکی ضرب و شتم مهسا امینی را رد میکند
برگزاری تجمع در اعتراض به عملکرد گشت ارشاد
گفتنی است که یکی از شبکههای خارجی پیشتر عکسی از سیتی اسکن مرحوم مهسا امینی منتشر کرده و مدعی شده بود که سیتی اسکن خانم مهسا امینی نشانگر شکستگی جمجمه، خونریزی و ادم مغزی است.
انتهای پیام




آموزش مجازی مدیریت عالی و حرفه ای کسب و کار DBA








ارسال نظر شما
مجموع نظرات : 0 در انتظار بررسی : 0 انتشار یافته : 0