به گزارش هوشمند نیوز، این وضعیت در استان نیوبرانزویک واقع در سواحل اقیانوس اطلس کانادا، بیش از دو سال است که توسط محققان و پزشکان مورد تجزیه و تحلیل قرار گرفته با این حال تاکنون هیچ درک درستی در مورد علت بروز این بیماری وجود ندارد.
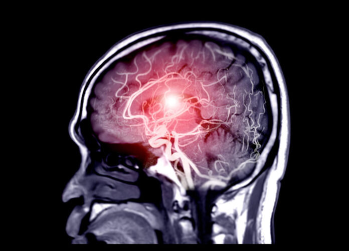
بر اساس گزارش ها، علائم این بیماری شامل مشکلات حافظه، اسپاسم عضلانی، کاهش شدید وزن، درد اندام و توهم است.
بر اساس آمارهای رسمی منتشر شده توسط یکی از مقامات بهداشتی نیوبرانزویک، تاکنون ۴۸ تن به این بیماری مبتلا شده و ۹ تن نیز جان خود را بر اثر ابتلا به آن از دست دادهاند.
این بیماری زنان و مردان را به طور مساوی تحت تأثیر قرار می دهد و اکثر بیماران مبتلا به آن در بازه سنی ۱۸ تا ۸۵ سال هستند.
یک مطالعه اپیدمیولوژیک توسط دپارتمان بهداشت نیوبرانزویک هرگونه ابتلا به این بیماری به دلیل غذا و تاثیرات محیطی را رد کرد.
به گزارش هوشمند نیوز به نقل از روزنامه گاردین، با این حال داده های مطالعه ای انجام شده توسط محققان کانادایی نشان داد افرادی که بر اثر ابتلا به این بیماری جان خود را از دست داده اند به دلیل تشخیص های اشتباه آن به عنوان بیماری های دیگری از جمله آلزایمر یا سرطان بوده است.
انتهای پیام




آموزش مجازی مدیریت عالی و حرفه ای کسب و کار DBA








ارسال نظر شما
مجموع نظرات : 0 در انتظار بررسی : 0 انتشار یافته : 0